Wie oft muss ich kommen?
Für das Gros unserer Patienten dürfte in Sachen Zahnarztbesuch die Maxime gelten: je weniger Termine desto besser. Dabei geht nicht nur um die Unannehmlichkeiten bei der Behandlung, sondern auch um so banale Dinge wie Arbeit, Familie oder Urlaub die bei der Terminvereinbarung eine Rolle spielen …. Kurz und gut: Ich denke unsere Patienten schätzen den Umstand, daß unsere Wurzelkanalbehandlungen in den allermeisten Fällen mit maximal zwei Behandlungssitzungen auskommen.
Nach unserer Erfahrung ist für die Prognose der Wurzelbehandlung weniger die Anzahl der Termine erforderlich und mehr die Qualität der einzelnen Behandlungsschritte. Unsere Nachuntersuchungen v.a. von Fällen die mit einer apikalen Aufhellung versehen waren bestätigen unsere Vorgehensweise. Gleichwohl sind auch unsere Wurzelkanalbehandlugen dahingehend nicht völlig komplikationslos, da wir regelmäßig Schmerzen sehen – jene sind zum einen gut mit Schmerzmittel zu beherrschen und zum anderen nur passager auftretend und nach einem oder zwei Tagen verschwunden.
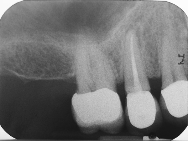
Sicherlich eignet sich nicht jede Wurzelbehandlung für ein single-visit-treatment. Zum einen läßt der ein oder andere Fall keine andere Wahl, da beispielsweise der Wurzelkanal in Vorbereitung der Wurzelfüllung nicht zu trocknen ist. Zum anderen sind bei Behandlungsumfänge jenseits der 90 Minuten für manch einen Patienten kaum auszuhalten. Die Behandlungs muss also zweigeteilt werden. Kleine Backenzähne wie im folgenden einer dargestellt oder Frontzähne sind fast prädestiniert für einzeitige Behandlungen. Der Fall dieses kleinen Backenzahnes mit einer lateralen Aufhellung ist ein Beispiel dafür. Der große schwarze Fleck rechts neben der Wurzel, ein apikales Granulom oder Entzündungsherd, war zur Nachkorntrolle so gut wie vollständig ausgeheilt.
Was sagt die Wissenschaft zu den verschiedenen settings?
In einer Untersuchung aus Italien wurden im Rahmen einer Literaturstudie 25 relevante Studien mit insgesamt über 3500 Patienten zu diesem Thema ausgewertet. Ergebnis war unter anderem, daß Einzelsitzungen offenbar mit mehr Schmerzen und mehr Schmerzmitteln einhergehen. Auch wenn die Studien mitunter recht unterschiedlch in ihrem Evidenzgrad waren, halten die Forscher fest, dass im Rahmen diese Vergleichs weder das eine noch das andere Herangehen als geeigneter gilt. Im Hinblick auf die benötigte Zeit und den Komfort sowohl für Patient wie Behandler scheinen einmalige Behandlungen vorteilhafter. Das gilt auch, wenn die Wahrscheinlichkeit größer ist, dass postoperativ kurzfristig Schmerzen auftreten die u.U. die Einnahme eines Schmerzmittels erforderlich machen.








