
Guten Tag, mein Name ist Dr. Wolfgang Gerner.
Ich bin Zahnarzt und kümmere mich gerne um Ihr Anliegen!
Ihr Kontakt zu uns auf einen Blick
Unsere Praxis ist in Leinfelden-Echterdingen, Stadteil Leinfelden in der Narzissenstraße 31. Unsere Sprechstunden:
- Montag 8 Uhr – 18 Uhr
- Dienstag 8 Uhr – 18 Uhr
- Mittwoch 8 Uhr – 18 Uhr
- Donnerstag 8 Uhr – 12 Uhr
- Freitag keine Sprechstunde
Sie erreichen uns in dieser Zeit unter 0711.752604 oder per mail:
Sie brauchen Unterstützung außerhalb unserer Sprechzeiten?
Senden Sie uns eine sms unter 0151.12101831, wir melden uns zeitnah bei Ihnen zurück!
Wir verstehen uns auf Zahnerhaltung, Zahnersatz und …
Zähne zu erhalten ist unsere Aufgabe. Genauso wie Kronen, Brücken oder herausnehmbarer Zahnersatz. Zuverlässig, handwerklich sorgfältig und mit Geduld.

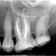
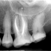
… Wurzelbehandlungen unter dem Mikroskop
“Das haben Sie gut gemacht!”
ein Patient
Ihre Behandlung bei uns
Ihr Anliegen ist unsere Aufgabe. Nicht mehr, aber auch nicht weniger.
Vertrauen
Wir finden zusammen heraus, wo der Schuh drückt. Welche Maßnahmen sind erforderlich? Was ist das Ziel der Behandlung?
Sorgfalt
Wir kümmern sorgfältig und zuverlässig um Ihr Anliegen. Nicht mit dem Kopf durch die Wand, dafür geduldig und zugewandt.
Präzision
Zahnmedizin ist nicht nur Medizin, sondern auch Handwerk. Und erfordert Genauigkeit und Sachverstand.

Zahnerhaltung
Die Zahnerhaltung umfasst Füllungen, ob solche aus zahnfarbenem Kunststoff, sog. Composite, oder hochwertige, im Zahnlabor hergestellte Füllungen aus Keramik.
Zahnersatz
Zum Zahnersatz oder Prothetik gehören Kronen, Brücken oder Prothesen. Also all jene Behandlungen, bei denen es um die Wiederherstellung der Kaufunktion geht.


Professionelle Zahnreinigung
Zahnfleischbluten und Mundgeruch? Immer wieder Karies? Bakterien bilden Beläge auf Zahnoberflächen, im harmlosen Fall entzündet sich das Zahnfleisch, es fängt an zu bluten, dazu Mundgeruch. Etwas mehr Pflegerückstand und kariöse Stellen treten auf, der Zahn bekommt ein Loch. Oder doch besser früher danach schauen, am besten solange alles noch in Ordnung ist? Die PZR als Grundlage für gesunde Zähne und ein gesundes Zahnfleisch.

Gutachten
Wir erstellen regelmäßig Sachverständigengutachten für Gerichte und private Krankenversicherungen.

Dr. Wolfgang Gerner
Zahntechniker und Zahnarzt. In Leinfelden seit 1999. Überweisungpraxis für mikroskopische Wurzelkanalbehandlungen seit 2002.